Αισθητικός οδοντίατρος

Ο σύμμαχός σας για ένα υγιές και λαμπερό χαμόγελο

Τα ιατρεία The Antiagers εγκαινιάζουν μια νέα σειρά υπηρεσιών αισθητικής οδοντιατρικής για εκτυφλωτικά χαμόγελα εύκολα, γρήγορα και ανώδυνα. Στο νέο και πλήρως εξοπλισμένο ιατρείο μας στο Περιστέρι, ο ειδικός αισθητικός οδοντίατρος των The Antiagers μαζί με την εξειδικευμένη ομάδα ιατρών και νοσηλευτών σας προσφέρουν ολοκληρωμένες λύσεις σε θέματα στοματικής υγιεινής και αισθητικής οδοντιατρικής.

Φόρμα εκδήλωσης ενδιαφέροντος


    Όρους Χρήσης, Πολιτική Απορρήτου



    Αντιμετώπιση Περιοδοντίτιδας (Βαθύς Καθαρισμός)

    Για χαμόγελα γεμάτα αυτοπεποίθηση

    Ο τακτικός οδοντικός καθαρισμός είναι ουσιαστικό μέρος της διατήρησης της καλής στοματικής υγιεινής αλλά αρκετές φορές ένας τυπικός καθαρισμός από έναν οδοντίατρο δεν είναι αρκετός. Εάν τα βακτήρια εισβάλλουν κάτω από τα ούλα και προσβάλλουν και το κόκαλο το οποίο περιβάλλει τα δόντια, θα χρειαστείτε έναν βαθύ οδοντικό καθαρισμό, o οποίος επιστημονικά ονομάζεται περιοδοντικός καθαρισμός και είναι διαφορετικός από τον απλό οδοντιατρικό καθαρισμό.

    Περισσότερα

    Σε τι διαφέρει ο βαθύς καθαρισμός των δοντιών από τον κανονικό καθαρισμό;
    Οι τακτικοί οδοντικοί καθαρισμοί επικεντρώνονται στα δόντια πάνω από το επίπεδο των ούλων. Αυτοί οι απλοί καθαρισμοί συνιστώνται στους περισσότερους ασθενείς κάθε έξι μήνες και διαδραματίζουν κρίσιμο ρόλο στη διατήρηση της καλής στοματικής υγείας. Όμως, υπάρχει μια μερίδα ασθενών με εντονότερη φλεγμονή ή οποία έχει επεκταθεί και στο οστό κάτω από τα ούλα οι οποίοι χρειάζονται βαθύ καθαρισμό.

    Ο βαθύς καθαρισμός των δοντιών, περιλαμβάνει ειδικές τεχνικές για να απαλλαγείτε από την πλάκα, την πέτρα και τα βακτήρια κάτω από τη γραμμή των ούλων μέχρι τις ρίζες των δοντιών σας. Αυτό αποτρέπει την εξέλιξη της νόσου των ούλων και την πρόκληση απώλειας δοντιών. Συνοπτικά, ο στόχος ενός τακτικού καθαρισμού είναι η προληπτική συντήρηση ενώ ο στόχος ενός βαθύ καθαρισμού των δοντιών είναι να σταματήσει την εξέλιξη της νόσου των ούλων και των περιοδοντικών ιστών.

    Πώς μπορώ να ξέρω αν χρειάζομαι βαθύ οδοντικό καθαρισμό;
    Ο βαθύς καθαρισμός δεν είναι απαραίτητος για κάθε ασθενή. Ωστόσο, για ασθενείς με πιο σοβαρή περίπτωση προχωρημένης ουλίτιδας, μπορεί να απαιτείται βαθύς καθαρισμός τοπικά, δηλαδή όχι σε ολόκληρο το στόμα αλλά μόνο στα σημεία που μας ανησυχούν για να αποφευχθεί η απώλεια των δοντιών στο μέλλον και να σταματήσει η περαιτέρω βλάβη.

    Η περιοδοντική νόσος δεν προκαλεί πάντα πόνο ή εμφανίζει ορατά συμπτώματα, γι’ αυτό μπορεί να είναι δύσκολο για τον ασθενή να καταλάβει από μόνος του πως χρειάζεται βαθύ καθαρισμό.

    Τι συνεπάγεται ο βαθύς καθαρισμός στον οδοντίατρο;
    Ο βαθύς καθαρισμός των δοντιών συνιστάται για ασθενείς με περιοδοντίτιδα, όπου η πέτρα έχει συσσωρευτεί στους θύλακες μεταξύ των δοντιών και των ούλων και μερικές φορές μέχρι τις ρίζες των δοντιών. Η ασθένεια των περιοδοντικών ιστών αν δεν θεραπευτεί έγκαιρα μπορεί να οδηγήσει σε απώλεια δοντιών ή σοβαρές λοιμώξεις.

    Η διαδικασία του καθαρισμού περιλαμβάνει την αφαίρεση της πλάκας και της πέτρας από τις περιοχές των δοντιών κάτω από τη γραμμή των ούλων για να μειωθεί το χάσμα μεταξύ των δοντιών και οστού που προκαλείται από περιοδοντίτιδα.

    Χρόνος εφαρμογής: Αναλόγως τη βαρύτητα του περιστατικού

    Επίπεδο Πόνου: Χωρίς πόνο

    Αναισθησία: Τοπική

    Χρόνος αποκατάστασης: 2-3 μέρες

    ΠΡΟΣΟΧΗ:
    Πρέπει να εφαρμόζεται από εξειδικευμένο Οδοντίατρο και με πιστοποιημένα ιατρικά υλικά.

    ΕΓΚΕΚΡΙΜΕΝΟ ΑΠΟ ΤΟΝ ΕΥΡΩΠΑΪΚΟ & ΑΜΕΡΙΚΑΝΙΚΟ ΟΡΓΑΝΙΣΜΟ ΦΑΡΜΑΚΩΝ

    Λεύκανση Δοντιών

    Για εκτυφλωτικά χαμόγελα εύκολα και γρήγορα

    Η λεύκανση των δοντιών είναι μια αισθητική και οδοντιατρική επέμβαση που περιλαμβάνει την αφαίρεση λεκέδων και χρωστικών από την επιφάνεια των δοντιών για ένα πιο φωτεινό και πιο λευκό χαμόγελο. Με την πάροδο του χρόνου, τα δόντια μπορεί να αποχρωματιστούν λόγω διαφόρων παραγόντων όπως η ηλικία, οι διατροφικές συνήθειες, το κάπνισμα και ορισμένα φάρμακα. Οι λύσεις λεύκανσης δοντιών στοχεύουν στην αναστροφή αυτού του αποχρωματισμού, αποκαθιστώντας τη φυσική φωτεινότητα των δοντιών.

    Περισσότερα

    Γιατί να κάνει κάποιος λεύκανση;
    Ένα λαμπερό, λευκό χαμόγελο μπορεί να βελτιώσει σημαντικά τη συνολική εμφάνιση και να τονώσει τα επίπεδα αυτοπεποίθησης. Πολλοί άνθρωποι έχουν μειωμένη αυτοπεποίθηση λόγω του χρώματος των δοντιών τους, ιδιαίτερα αν έχουν εμφανείς λεκέδες ή αποχρωματισμό. Η λεύκανση δοντιών παρέχει μια μη επεμβατική λύση για τη βελτίωση της αισθητικής εμφάνισης των δοντιών, με αποτέλεσμα ένα πιο ελκυστικό χαμόγελο.

    Πώς λειτουργεί η λεύκανση δοντιών;
    Οι λύσεις λεύκανσης δοντιών λειτουργούν με τη χρήση λευκαντικών παραγόντων, όπως το υπεροξείδιο του υδρογόνου ή το υπεροξείδιο του καρβαμιδίου, για τη διάσπαση των λεκέδων και του αποχρωματισμού στην επιφάνεια των δοντιών. Αυτοί οι λευκαντικοί παράγοντες διεισδύουν στο σμάλτο (το εξωτερικό στρώμα του δοντιού) και αντιδρούν με τα αποχρωματισμένα μόρια, με αποτέλεσμα να διασπώνται και να γίνονται λιγότερο ορατά. Αυτή η διαδικασία φωτίζει αποτελεσματικά το συνολικό χρώμα των δοντιών, με αποτέλεσμα ένα πιο φωτεινό χαμόγελο. Ανάλογα με τη μέθοδο που χρησιμοποιείται, οι λύσεις λεύκανσης δοντιών μπορούν να εφαρμοστούν απευθείας στα δόντια ως γέλη ή να χορηγηθούν χρησιμοποιώντας ειδικά κατασκευασμένα μασελάκια.

    Πόσο διαρκεί η διαδικασία;
    Η διάρκεια των αποτελεσμάτων λεύκανσης δοντιών μπορεί να ποικίλλει ανάλογα με διάφορους παράγοντες, συμπεριλαμβανομένων των συνηθειών στοματικής υγιεινής του ατόμου, των διατροφικών επιλογών και παραγόντων τρόπου ζωής. Γενικά, τα αποτελέσματα των λύσεων λεύκανσης δοντιών δεν είναι μόνιμα και τα αποτελέσματα λεύκανσης μπορεί σταδιακά να μειωθούν με την πάροδο του χρόνου. Ωστόσο, με την κατάλληλη συντήρηση, τα αποτελέσματα της λεύκανσης των δοντιών μπορούν να παραταθούν. Πολλά άτομα επιλέγουν περιοδικές λύσεις για να διατηρήσουν τη φωτεινότητα του χαμόγελου τους, συνήθως κάθε 6 έως 12 μήνες. Η άσκηση καλών συνηθειών στοματικής υγιεινής, όπως το τακτικό βούρτσισμα, το νήμα και ο επαγγελματικός καθαρισμός, μπορεί να βοηθήσει στη διατήρηση των αποτελεσμάτων των λύσεων λεύκανσης δοντιών για μεγαλύτερες περιόδους.

    Χρόνος εφαρμογής: Αναλόγως την τεχνική

    Τεχνικές
    1) Στο ιατρείο μόνο 2-3 συνεδρίες
    2) Στο σπίτι μόνο 9-14 ημέρες
    3) Συνδυαστική μέθοδος 1 συνεδρία ιατρείου και μετά 7-9 ημέρες στο σπίτι

    Επίπεδο Πόνου: Χωρίς πόνο

    Αναισθησία: Χωρίς

    ΠΡΟΣΟΧΗ:
    Πρέπει να εφαρμόζεται από εξειδικευμένο Οδοντιατρό και με πιστοποιημένα ιατρικά υλικά.

    ΕΓΚΕΚΡΙΜΕΝΟ ΑΠΟ ΤΟΝ ΕΥΡΩΠΑΪΚΟ & ΑΜΕΡΙΚΑΝΙΚΟ ΟΡΓΑΝΙΣΜΟ ΦΑΡΜΑΚΩΝ

    Όψεις Πορσελάνης

    Μεταμορφώστε την εμφάνιση του χαμόγελού σας

    Αποκτήστε το λαμπερό χαμόγελο που πάντα ονειρευόσασταν με όψεις πορσελάνης για τη βελτίωση της εμφάνισης λεκιασμένων, παραμορφωμένων ή κατεστραμμένων δοντιών.

    Περισσότερα

    Τι είναι οι όψεις πορσελάνης;
    Οι όψεις πορσελάνης (ονομάζονται επίσης κεραμικές όψεις) είναι λεπτά καλύμματα που τοποθετούνται στην επιφάνεια του δοντιού για να διορθώσουν τα αισθητικά και δομικά ελαττώματα. Είναι κατασκευασμένες από ένα ανθεκτικό και λεπτό στρώμα πορσελάνης για ένα δυνατό, όμορφο και φυσικό χαμόγελο.

    Οι όψεις είναι μια καλή επιλογή εάν τα δόντια σας είναι μόνιμα αποχρωματισμένα, δεν ανταποκρίνονται στις λύσεις λεύκανσης, είναι ραγισμένα ή κακοσχηματισμένα. Οι όψεις μπορούν επίσης να ελαχιστοποιήσουν τα κενά μεταξύ των δοντιών σας ή να προσαρμόσουν μικρά προβλήματα που σχετίζονται με το δάγκωμα.

    Σε ορισμένες περιπτώσεις, όταν τα δόντια είναι σοβαρά κατεστραμμένα ή φθαρμένα, μπορεί να απαιτούνται άλλες θεραπευτικές επιλογές όπως κεραμικές (θήκες) ή οδοντικές γέφυρες.

    Οι εξειδικευμένοι οδοντίατροι των The Antiagers προσφέρουν όψεις πορσελάνης σε ασθενείς που θέλουν να κλείσουν τα κενά στα δόντια τους, να θεραπεύσουν τυχόν αποχρωματισμένα δόντια ή να αποκαταστήσουν το φυσικό τους χαμόγελο.

    Πώς λειτουργούν οι όψεις;
    Οι όψεις είναι ειδικά κατασκευασμένα κελύφη από πορσελάνη φτιαγμένα για να τοποθετηθούν στην επιφάνεια των δοντιών σας. Ακόμη και αν απαιτείται ελάχιστη μείωση της επιφάνειας των δοντιών, συνήθως προηγείται ένα πολύ επιφανειακό τρόχισμα (όσο είναι το πάχος ενός φακού επαφής) για να διασφαλιστεί η σωστή πρόσφυση των όψεων. Κάθε σετ όψεων είναι προσαρμοσμένο για να ταιριάζει με ακρίβεια στα δόντια σας, απαιτώντας ένα ραντεβού τόσο για την κατασκευή όσο και για την εφαρμογή.

    Σε αντίθεση με τη δημοφιλή πεποίθηση, οι όψεις δεν απαιτούν πάντα εκτεταμένη μείωση της επιφάνειας των δοντιών. Ενώ ορισμένες περιπτώσεις, όπως η σοβαρή κακή ευθυγράμμιση των δοντιών ή η επιθυμία για μείωση του μεγέθους των δοντιών, μπορεί να απαιτούν σημαντικό τρόχισμα, πολλοί ασθενείς μπορούν να επιλέξουν να αφαιρεθεί μια ελάχιστη ποσότητα σμάλτου, συνήθως περίπου 0,3-0,7 χιλιοστά.

    Η διαδικασία
    Η διαδικασία τοποθέτησης όψεων πορσελάνης τυπικά εκτείνεται σε τρία ραντεβού σε περίπου 2-3 εβδομάδες. Η αρχική συνεδρία περιλαμβάνει την εξέταση των δοντιών σας από τον οδοντίατρο της ομάδας των The Antiagers, λήψη αρχικών ενδοστοματικών και εξωστοματικών φωτογραφιών και συζήτηση των στόχων σας, ενώ στο δεύτερο ραντεβού γίνεται μια τρισδιάστατη απεικόνιση μέσα στο στόμα σας για να δείτε LIVE ακριβώς πώς θα είναι το τελικό αποτέλεσμα. Έτσι, το αισθητικό αποτέλεσμα είναι πλήρως προβλέψιμο και ο κάθε ασθενής είναι ενήμερος από πριν για το πως θα είναι το χαμόγελό του μόλις κολληθούν οι όψεις πορσελάνης.
    Τέλος, οι όψεις εφαρμόζονται και συγκολλούνται μόνιμα κατά το τρίτο ραντεβού.

    Χρόνος εφαρμογής: 3-4 ραντεβού

    Επίπεδο Πόνου: Χωρίς πόνο

    Πότε φαίνεται το αποτέλεσμα: Στο 3ο ή 4ο ραντεβού

    Αναισθησία: Χωρίς

    ΠΡΟΣΟΧΗ:
    Πρέπει να εφαρμόζεται από εξειδικευμένο Οδοντίατρο και με πιστοποιημένα ιατρικά υλικά.

    ΕΓΚΕΚΡΙΜΕΝΟ ΑΠΟ ΤΟΝ ΕΥΡΩΠΑΪΚΟ & ΑΜΕΡΙΚΑΝΙΚΟ ΟΡΓΑΝΙΣΜΟ ΦΑΡΜΑΚΩΝ

    Όψεις Ρητίνης

    Για ένα όμορφο χαμόγελο

    Οι όψεις ρητίνης είναι λεπτές επικαλύψεις μικρού πάχους (resin veneers) που τοποθετούνται στην μπροστινή επιφάνεια των δοντιών για τη βελτίωση της εμφάνισης του χαμόγελου. Οι όψεις προσφέρουν αποτελεσματικές λύσεις για την αλλαγή σχήματος, χρώματος και θέσης των δοντιών, ενώ όσον αφορά την επεξεργασία του δοντιού θα πρέπει να γίνει πολύ ήπιο τρόχισμα μόνο στην εξωτερική επιφάνεια του δοντιού της τάξης των 0,2-0,5mm (σε κάποιες περιπτώσεις μπορεί να μην χρειαστεί και καθόλου τρόχισμα). Κατασκευάζονται από σύνθετη ρητίνη προσφέροντας φυσική εμφάνιση και αντοχή.

     

    Περισσότερα

    Γιατί όψεις ρητίνης;
    Οι όψεις ρητίνης αποτελούν μια εξαιρετική επιλογή για όσους επιθυμούν να διορθώσουν διάφορα κοσμητικά προβλήματα των δοντιών τους, χωρίς την ανάγκη για πιο απαιτητικές και επεμβατικές διαδικασίες. Ένας από τους κύριους λόγους που προτιμούνται οι όψεις ρητίνης είναι η δυνατότητά τους να βελτιώσουν την εμφάνιση των δοντιών χωρίς την αφαίρεση σημαντικού μέρους της φυσικής οδοντικής ουσίας, όπως συμβαίνει σε άλλες μεθόδους όπως οι στεφάνες (θήκες) ή οι γέφυρες.

    Oι όψεις προσφέρουν εξαιρετική φυσική εμφάνιση, αφού μπορούν να ταιριάξουν απόλυτα στο χρώμα και τη μορφολογία των υπόλοιπων δοντιών. Είναι εύκολο να τις καθαρίσει κανείς και αντέχουν στον χρόνο.

    Οφέλη
    Οι όψεις ρητίνης χρησιμοποιούνται σε ποικίλες περιπτώσεις, όπως η αραιοδοντία, η αντικατάσταση παλαιών σφραγισμάτων, η διόρθωση αποχρωματισμένων δοντιών, η αλλαγή σχήματος των δοντιών. Ωστόσο, υπάρχουν και περιπτώσεις όπου αποφεύγεται η τοποθέτηση όψεων ρητίνης, όπως στην περίπτωση ασθενών που καπνίζουν πολύ ή πάσχουν από ορισμένες παθήσεις των ούλων αλλά και περιπτώσεων που τα κενά προς αποκατάσταση των δοντιών είναι αρκετά μεγάλα (σε αυτήν την περίπτωση θα γίνει αποκατάσταση με όψεις πορσελάνης).

    Σε πόσα δόντια μπορούμε να τοποθετήσουμε όψεις;
    Γενικά, η τοποθέτηση 6-10 όψεων στην άνω γνάθο και άλλων τόσων στην κάτω γνάθο οδηγεί σε ικανοποιητικά αισθητικά αποτελέσματα. Παρόλα αυτά, σε περιπτώσεις όπου τα τόξα των γνάθων είναι φαρδιά και προκύπτουν αντιαισθητικά σημεία στα πίσω δόντια δεξιά και αριστερά από τις παρειές, μπορεί να χρειαστεί η επέμβαση σε περισσότερα δόντια για να επιτευχθεί η επιθυμητή κάλυψη.

    Υπάρχουν μειονεκτήματα;
    -Δεν είναι κατάλληλες για την αποκατάσταση μεγάλων ανυποστήρικτων δομών σε απόσταση μεγαλύτερη από 1-1,5 χιλιοστά, όπως μεγάλες αραιοδοντίες. Σε τέτοιες περιπτώσεις, συνήθως προτιμάται η χρήση όψεων πορσελάνης.

    -Με την πάροδο του χρόνου, μπορεί να παρουσιαστεί “θάμπωμα” της επιφάνειας της ρητίνης και για αυτό συνίσταται λείανση κάθε 6-9 μήνες.

    -Προϋπόθεση για την επιλογή των όψεων ρητίνης είναι η καλή υγεία των περιοδοντικών ιστών (ούλων και οστού), ατραυματικής σύγκλεισης και η απουσία ανάγκης για επιμέρους ειδικές λύσεις.

    Χρόνος εφαρμογής: 1 συνεδρία

    Επίπεδο Πόνου: Χωρίς πόνο

    Πότε φαίνεται το αποτέλεσμα: Άμεσα

    Αναισθησία: Χωρίς

    ΠΡΟΣΟΧΗ:
    Πρέπει να εφαρμόζεται από εξειδικευμένο Οδοντίατρο και με πιστοποιημένα ιατρικά υλικά.

    ΕΓΚΕΚΡΙΜΕΝΟ ΑΠΟ ΤΟΝ ΕΥΡΩΠΑΪΚΟ & ΑΜΕΡΙΚΑΝΙΚΟ ΟΡΓΑΝΙΣΜΟ ΦΑΡΜΑΚΩΝ

    Τακτικός Καθαρισμός Δοντιών

    Λαμπερά, υγιή χαμόγελα

    Ο τακτικός καθαρισμός των δοντιών αποτελεί απαραίτητη διαδικασία για τη διατήρηση της στοματικής υγείας αλλά και της συνολικής ευεξίας. Πρόκειται για διαδικασία ρουτίνας, την οποία πραγματοποιεί ο οδοντίατρος. Περιλαμβάνει την αφαίρεση πλάκας, πέτρας και λεκέδων από τα δόντια σας για την πρόληψη της τερηδόνας, της νόσου των ούλων και άλλων οδοντικών προβλημάτων.

     

    Περισσότερα

    Πόσο συχνά πρέπει να πραγματοποιείται ο καθαρισμός δοντιών;

    Η Αμερικανική Οδοντιατρική Ένωση συστήνει την επίσκεψη στον οδοντίατρό σας για επαγγελματικό καθαρισμό τουλάχιστον δύο φορές το χρόνο. Ανάλογα με την περίπτωση, ορισμένα άτομα μπορεί να χρειαστεί τακτικότερους καθαρισμούς με βάση τις ανάγκες της στοματικής τους υγείας. Παράγοντες όπως το κάπνισμα, ο διαβήτης, το ιστορικό ουλίτιδας ή η τάση για τερηδόνα μπορεί να χρειάζονται πιο τακτικές επισκέψεις.

    Υπάρχουν οδηγίες που πρέπει να ακολουθούμε για τη διατήρηση καλής στοματικής υγιεινής μεταξύ καθαρισμών;

    • Βούρτσισμα δοντιών δύο φορές την ημέρα: Επιλέξτε οδοντόκρεμα με φθόριο. Βεβαιωθείτε ότι βουρτσίζετε τα δόντια σας για τουλάχιστον δύο λεπτά κάθε φορά.

    • Νήμα: Το νήμα απομακρύνει την πλάκα και τα σωματίδια τροφής ανάμεσα στα δόντια και κάτω από τη γραμμή των ούλων.

    • Χρησιμοποιούμε στοματικό διάλυμα: Ένα αντιβακτηριακό στοματικό διάλυμα μπορεί να βοηθήσει στην ελάττωση της πλάκας και την διατήρηση της φρεσκάδας στην αναπνοή.

    • Υγιεινή διατροφή: Ο περιορισμός των συχνών σνακ και των ποτών με ζάχαρη, είναι σημαντικός. Είναι καλό να υιοθετήσετε μια ισορροπημένη διατροφή πλούσια σε φρούτα, λαχανικά και γαλακτοκομικά προϊόντα.

    • Ενυδάτωση: Καταναλώνετε άφθονο νερό για να ξεπλύνετε τα σωματίδια των τροφών και τα βακτήρια.

    • Τακτικές επισκέψεις στον οδοντίατρο: Μην αμελείτε τις προγραμματισμένες εξετάσεις κάθε έξι μήνες ή όπως σας προτείνει ο οδοντίατρος των The Antiagers.

    Ο καθαρισμός των δοντιών αποτελεί επώδυνη διαδικασία;

    Ο καθαρισμός των δοντιών δεν αποτελεί επώδυνη διαδικασία. Πιθανόν να νιώσετε μια μικρή ενόχληση εάν έχετε ευαίσθητα ούλα ή σημαντική συσσώρευση πέτρας, αλλά οι σύγχρονες τεχνικές και τα εργαλεία που χρησιμοποιούνται είναι ειδικά σχεδιασμένα για να ελαχιστοποιούν την ενόχληση.

    Χρόνος εφαρμογής: 60 λεπτά

    Επίπεδο Πόνου: Χωρίς πόνο

    Χρόνος αποκατάστασης: Μηδενικός, άμεση επιστροφή στις καθημερινές δραστηριότητες

    Αναισθησία: Χωρίς

    ΠΡΟΣΟΧΗ:
    Πρέπει να εφαρμόζεται από εξειδικευμένο Οδοντίατρο και με πιστοποιημένα ιατρικά υλικά.

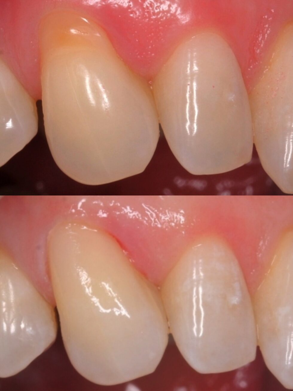
    Εμφράξεις Δοντιών (Αισθητικά Σφραγίσματα)

    Μια σύγχρονη προσέγγιση σε ένα φυσικό χαμόγελο

    Τα αισθητικά σφραγίσματα προσφέρουν μια απρόσκοπτη και φυσική λύση στην οδοντική αποκατάσταση, προσφέροντας ένα ομογενές αποτέλεσμα σε συνδυασμό με τα φυσικά σας δόντια. Οι εμφράξεις όχι μόνο βελτιώνουν το χαμόγελό σας, αλλά παράλληλα εξασφαλίζουν μακροχρόνια προστασία για τα δόντια σας.

     

    Περισσότερα

    Τι είναι τα αισθητικά σφραγίσματα;

    Τα αισθητικά σφραγίσματα είναι οδοντικές αποκαταστάσεις που επιδιορθώνουν την κατεστραμμένη δομή των δοντιών χρησιμοποιώντας σύνθετη ρητίνη που ταιριάζουν με το φυσικό χρώμα των δοντιών. Αυτά τα σφραγίσματα συνδέονται χημικά με το δόντι και σκληραίνουν με φως αλογόνου, δημιουργώντας μια ανθεκτική και πλήρως αισθητική αποκατάσταση.

    Σε αντίθεση με άλλα σφραγίσματα, τα οποία είναι κατασκευασμένα από μείγμα υδραργύρου και άλλων μετάλλων, τα αισθητικά σφραγίσματα δεν απαιτούν την αφαίρεση της υγιούς δομής των δοντιών, καθιστώντας τα μια πιο συντηρητική και λιγότερο επεμβατική επιλογή. Είναι ιδιαίτερα αποτελεσματικά για την επιδιόρθωση των μπροστινών δοντιών που είναι ραγισμένα, σπασμένα ή φθαρμένα, αλλά η τελευταία γενιά σύνθετων υλικών μπορεί επίσης να αντέξει τη δύναμη στα πίσω δόντια. Η διαδικασία είναι απολύτως ανώδυνη, χάρη στην τοπική αναισθησία, και τα αποτελέσματα είναι άμεσα ορατά, επιτρέποντας στους ασθενείς να φύγουν από το οδοντιατρείο με ένα βελτιωμένο χαμόγελο.

    Η τακτική στοματική φροντίδα και οι εξαμηνιαίοι οδοντιατρικοί έλεγχοι διασφαλίζουν ότι αυτά τα σφραγίσματα παραμένουν ανέπαφα και προσεγμένα, παρατείνοντας τη διάρκεια ζωής τους. Επιπλέον, τα αισθητικά σφραγίσματα είναι βιοσυμβατά και δεν προκαλούν νέκρωση του πολφού, καθιστώντας τα μια ασφαλή επιλογή για οδοντική αποκατάσταση. Η ικανότητά τους να συνδυάζονται άψογα με τα φυσικά δόντια, σε συνδυασμό με την αντοχή και τις προστατευτικές τους ιδιότητες, καθιστούν τα αισθητικά σφραγίσματα μια εξαιρετική επιλογή για όποιον θέλει να ενισχύσει το χαμόγελό του.

    Χρόνος 
    1 συνεδρία
    Επίπεδο Πόνου
    Καμία ενόχληση
    Αναισθησία
    Τοπική
    Άμεση επιστροφή στις δραστηριότητες
    Ναι

    ΕΓΚΕΚΡΙΜΕΝΟ ΑΠΟ ΤΟΝ ΕΥΡΩΠΑΪΚΟ & ΑΜΕΡΙΚΑΝΙΚΟ ΟΡΓΑΝΙΣΜΟ ΦΑΡΜΑΚΩΝ

    Διαφανείς Νάρθηκες

    H No1 ορθοδοντική προσέγγιση με διαφανείς νάρθηκες

    Οι διαφανείς νάρθηκες αποτελούν μια επαναστατική προσέγγιση, επιτρέποντας στους ασθενείς να διορθώσουν τα ορθοδοντικά προβλήματά τους διακριτικά αλλά αποτελεσματικά.

     

    Περισσότερα

    Τι είναι οι διαφανείς νάρθηκες;

    Η λανθασμένη θέση των δοντιών διορθώνεται με διαφανείς, αφαιρούμενους νάρθηκες που προσφέρουν άνεση και διακριτικότητα. Οι ασθενείς αλλάζουν νάρθηκες κάθε δύο περίπου εβδομάδες και έχουν σταδιακή βελτίωση της θέσης των δοντιών. 

    Πρόκειται για μια προηγμένη μέθοδο κατά την οποία αντί για μεταλλικά σιδεράκια χρησιμοποιούνται λεπτές μεμβράνες πάχους 0,5 χιλιοστού που διαθέτουν μικρή ελαστικότητα, οι οποίοι ονομάζονται aligners (ευθυγραμμιστές) κι έχουν σχήμα πετάλου. Η πορεία της θεραπείας είναι ψηφιακά σχεδιασμένη με τέτοιο τρόπο ώστε να δημιουργείται ένα τρισδιάστατο απεικονιστικό μοντέλο του οδοντικού φραγμού ώστε να προβούμε σε αποκατάσταση ορθοδοντικών ανωμαλιών που είτε μας επηρεάζουν λειτουργικά είτε αισθητικά.

     

    Χρόνος Εφαρμογής
    Kυμαίνεται από 12 έως 18 μήνες, ανάλογα με τη σοβαρότητα της περίπτωσης.
    Πότε φαίνεται το αποτέλεσμα
    Mετά από λίγους μήνες.
    Επίπεδο Πόνου
    Ήπιος και υποχωρεί μετά από λίγες ημέρες.
    Διάρκεια αποκατάσταης
    Ένας μήνας, κατά τον οποίο τα δόντια σταθεροποιούνται στη νέα τους θέση.
    WhatsApp
    ONLINE ΡΑΝΤΕΒΟΥ