Εμφράξεις Δοντιών (Αισθητικά Σφραγίσματα): Πληροφορίες & Μέθοδοι
Μια σύγχρονη προσέγγιση σε ένα φυσικό χαμόγελο
Φόρμα εκδήλωσης ενδιαφέροντος
Τα αισθητικά σφραγίσματα προσφέρουν μια απρόσκοπτη και φυσική λύση στην οδοντική αποκατάσταση, προσφέροντας ένα ομογενές αποτέλεσμα σε συνδυασμό με τα φυσικά σας δόντια. Οι εμφράξεις όχι μόνο βελτιώνουν το χαμόγελό σας, αλλά παράλληλα εξασφαλίζουν μακροχρόνια προστασία για τα δόντια σας
ΕΓΚΕΚΡΙΜΕΝΟ ΑΠΟ ΤΟΝ ΕΥΡΩΠΑΪΚΟ & ΑΜΕΡΙΚΑΝΙΚΟ ΟΡΓΑΝΙΣΜΟ ΦΑΡΜΑΚΩΝ
Κάντε τη δική σας ερώτηση στο γιατρό
Η ιατρική μας ομάδα είναι πάντα στη διάθεσή σας για να απαντά στα ερωτήματά και να λύνει τις απορίες σας σε κάθε θέμα ομορφιάς!
Τι είναι τα αισθητικά σφραγίσματα;
Τι πρέπει να γνωρίζετε
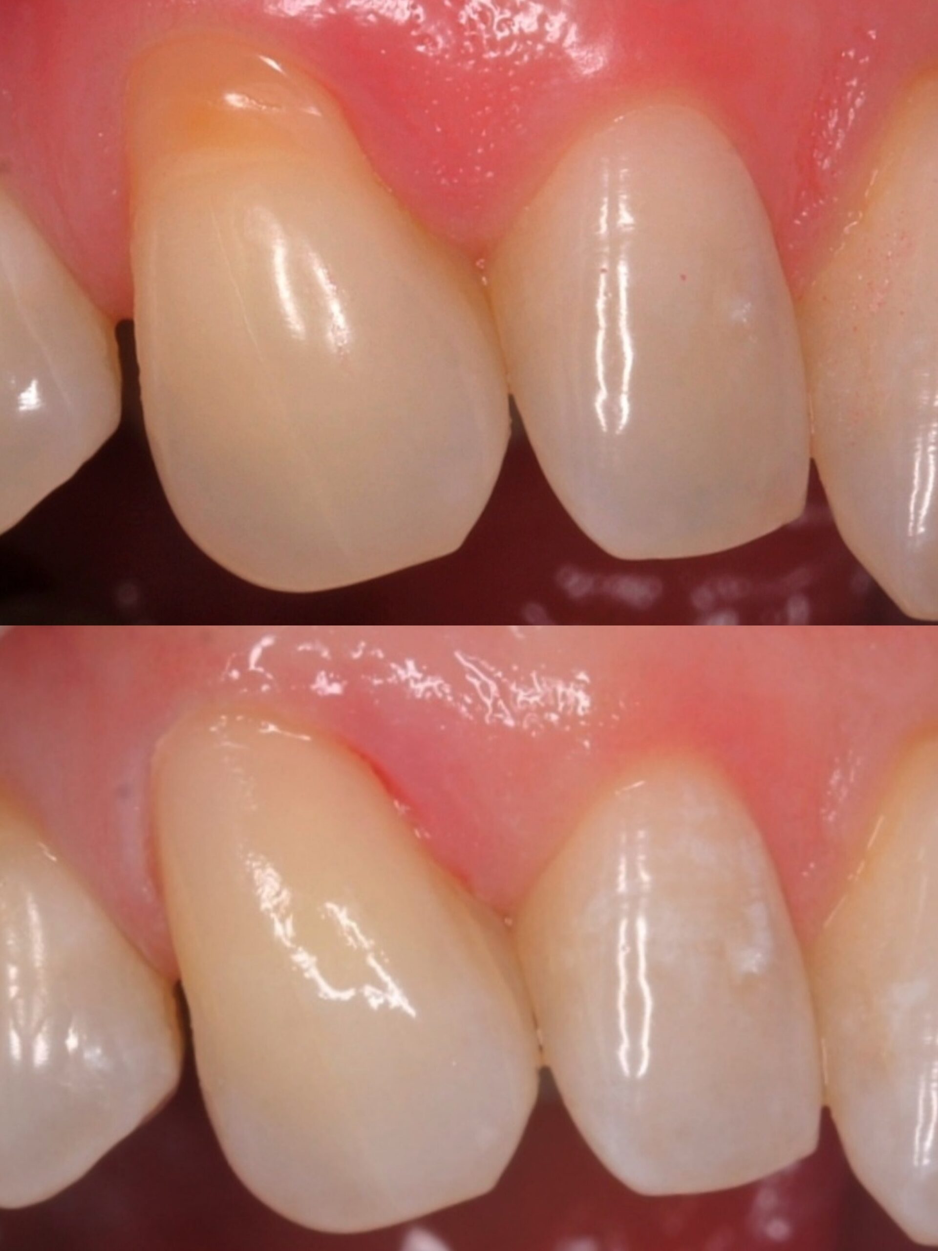
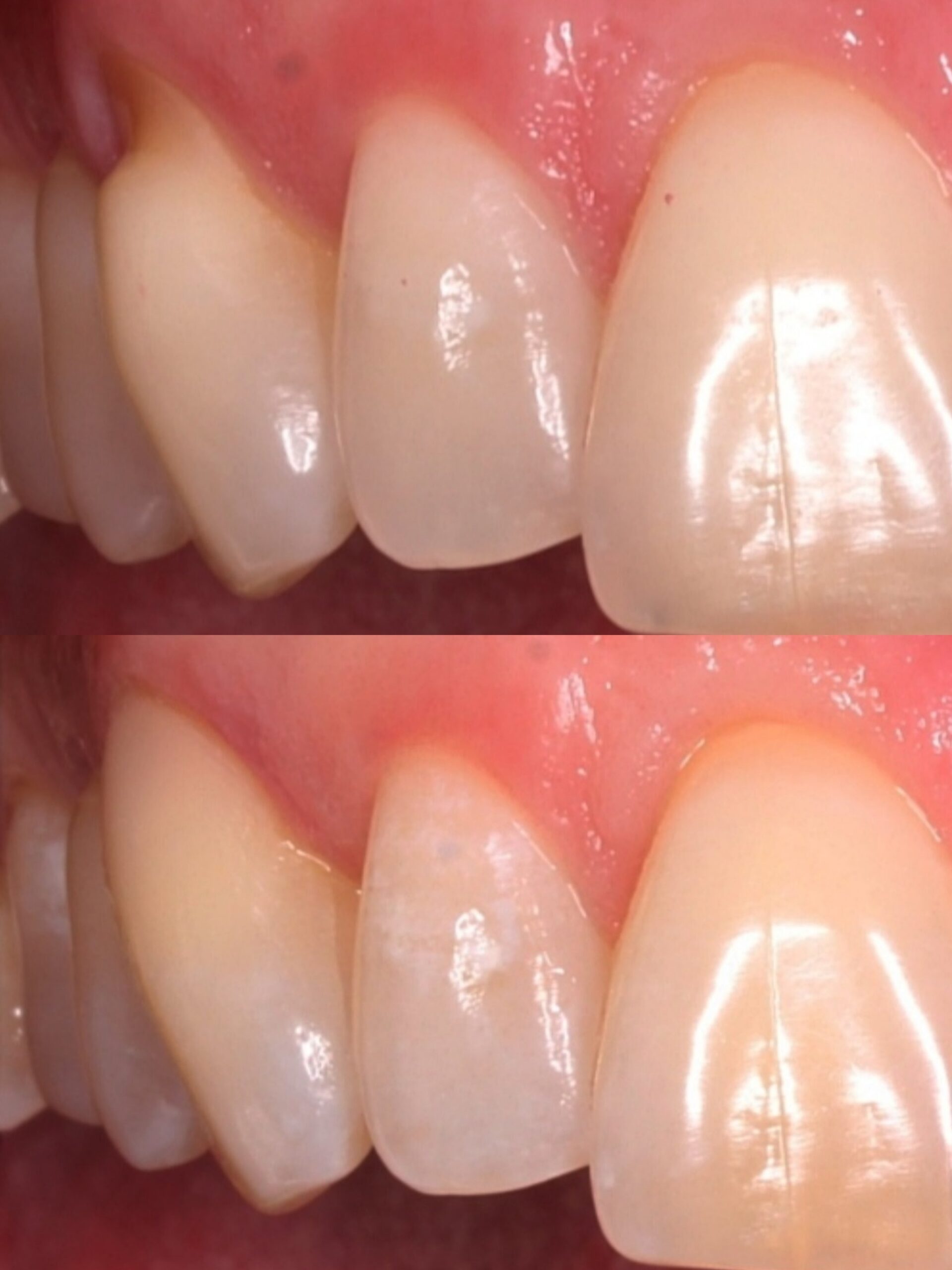
Τα αισθητικά σφραγίσματα είναι οδοντικές αποκαταστάσεις που επιδιορθώνουν την κατεστραμμένη δομή των δοντιών χρησιμοποιώντας σύνθετη ρητίνη που ταιριάζουν με το φυσικό χρώμα των δοντιών. Αυτά τα σφραγίσματα συνδέονται χημικά με το δόντι και σκληραίνουν με φως αλογόνου, δημιουργώντας μια ανθεκτική και πλήρως αισθητική αποκατάσταση.
Σε αντίθεση με άλλα σφραγίσματα, τα οποία είναι κατασκευασμένα από μείγμα υδραργύρου και άλλων μετάλλων, τα αισθητικά σφραγίσματα δεν απαιτούν την αφαίρεση της υγιούς δομής των δοντιών, καθιστώντας τα μια πιο συντηρητική και λιγότερο επεμβατική επιλογή. Είναι ιδιαίτερα αποτελεσματικά για την επιδιόρθωση των μπροστινών δοντιών που είναι ραγισμένα, σπασμένα ή φθαρμένα, αλλά η τελευταία γενιά σύνθετων υλικών μπορεί επίσης να αντέξει τη δύναμη στα πίσω δόντια. Η διαδικασία είναι απολύτως ανώδυνη, χάρη στην τοπική αναισθησία, και τα αποτελέσματα είναι άμεσα ορατά, επιτρέποντας στους ασθενείς να φύγουν από το οδοντιατρείο με ένα βελτιωμένο χαμόγελο.
Η τακτική στοματική φροντίδα και οι εξαμηνιαίοι οδοντιατρικοί έλεγχοι διασφαλίζουν ότι αυτά τα σφραγίσματα παραμένουν ανέπαφα και προσεγμένα, παρατείνοντας τη διάρκεια ζωής τους. Επιπλέον, τα αισθητικά σφραγίσματα είναι βιοσυμβατά και δεν προκαλούν νέκρωση του πολφού, καθιστώντας τα μια ασφαλή επιλογή για οδοντική αποκατάσταση. Η ικανότητά τους να συνδυάζονται άψογα με τα φυσικά δόντια, σε συνδυασμό με την αντοχή και τις προστατευτικές τους ιδιότητες, καθιστούν τα αισθητικά σφραγίσματα μια εξαιρετική επιλογή για όποιον θέλει να ενισχύσει το χαμόγελό του.
Γιατί είναι καλά τα αισθητικά σφραγίσματα;
Τι γίνεται κατά τη διάρκεια της θεραπείας;
Προετοιμασία: Ο οδοντίατρος αναισθητοποιεί την περιοχή και αφαιρεί τυχόν τερηδόνα ή παλιά σφραγίσματα. Στη συνέχεια, το δόντι καθαρίζεται και στεγνώνει.
Συγκόλληση: Εφαρμόζεται ένα ήπιο οξύ για τη δημιουργία μικροσκοπικών αυλακώσεων στην επιφάνεια του δοντιού, ενισχύοντας τη συγκόλληση. Στη συνέχεια εφαρμόζεται ένας συνδετικός παράγοντας κι ένα σύνθετο υλικό πλήρωσης, το οποίο διαμορφώνεται και σκληραίνει με φως αλογόνου.
Φινίρισμα: Το σφράγισμα γυαλίζεται και διαμορφώνεται ώστε να ταιριάζει με το φυσικό περίγραμμα του δοντιού, εξασφαλίζοντας απρόσκοπτη και άνετη εφαρμογή.
Step by Step
ΒΗΜΑ 1ο
ΒΗΜΑ 2ο

